Recent Advances and the Future of Antibody Engineering
/* custom css */
.td_uid_1_5cd51e1699169_rand { min-height: 0; }
/* custom css */
.td_uid_2_5cd51e16993a4_rand { vertical-align: baseline; }
REGISTER NOW
jQuery(window).load(function () { jQuery('body').find('#td_uid_1_5cd51e1699162 .td-element-style').each(function (index, element) { jQuery(element).css('opacity', 1); return; }); }); ...
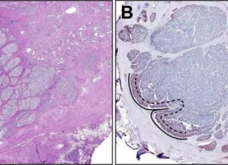
Potential Metastatic Prostate Cancer Biomarker Identified
While skin cancer is still the most common form of cancer among men, prostate cancer is not far behind, unfortunately. Current statistics say that roughly 1 in 9 men will be diagnosed with prostate...
Virus Hunters Stalk Through Genome and ID New Disease Associated Viral Family
Normal
0
false
false
false
EN-US
JA
X-NONE
Scientists at the University of Pennsylvania Perelman School of Medicine have identified a previously unknown family of small...
New research uncovers how superbug evades the immune system to cause infection
New research led by the University of Sheffield has discovered how a hospital superbug evades the immune system to cause infection - paving the way for new treatments.
The study, led by the University of...
Sabancı University opens biotechnology research unit – Turkey – Hurriyet Daily News
ISTANBUL
Istanbul has a new biotechnology research and development laboratory as a result of a partnership which includes Sabancı University Nanotechnology Research and Application Center (SUNUM)
“The studies to be carried out here will contribute to...
Acupuncture can be a wonderful tool for preventing number of diseases
Well-recognized for its therapeutic effects, acupuncture is increasingly being appreciated for its ability to promote wellness and contribute to the prevention of a broad range of conditions. A new study, which demonstrates the promise...
An Earth Day demand for biotechnology – Alliance for Science
How can agricultural biotechnology help save the planet?
That question was the focus of a Tweet “thunderclap” chat hosted by the Nigeria Alliance for Science to mark yesterday’s celebration of Earth Day. Conducted under the...
Advance in breakthrough cancer treatment eliminates serious side effects
An advance in the breakthrough cancer treatment known as CAR T-cell therapy appears to eliminate its severe side effects, making the treatment safer and potentially available in outpatient settings, a new USC study shows.
"This...













